SurfImaging.ai Logo

SurfImaging.ai

AI-Powered Medical Imaging. Cloud-Driven Performance.

Why SurfImaging?

SurfImaging reduces radiologists’ workload by integrating AI directly into medical imaging workflows. Our cloud-native platform ensures high-performance imaging across compute, storage, and AI services—accessible from any device, anywhere.

As medical institutions expand remote diagnostics and multi-site collaboration, they increasingly rely on cloud platforms that offer not just scalability, but a deep understanding of clinical realities. Surfimaging.ai enables seamless imaging performance across diverse infrastructures—while helping identify cloud partners who prioritize compliance, continuity, and patient-centered innovation. Through this trusted collaboration, we accelerate deployment, strengthen operational resilience, and foster long-term partnerships that benefit both care delivery and cloud ecosystems.

Our Proven Team, Pioneering Again

The founding team at SurfImaging.ai previously developed core imaging technology at Surpassing Technologies Inc., acquired by Microsoft in 2008. That milestone reflects a proven track record in technical innovation and product excellence. Today, the same team applies decades of expertise in imaging, cloud architecture, and AI innovation to advance SurfImaging.ai—delivering resilient, scalable solutions for modern healthcare.

WHX Dubai 2026

WHX Dubai 2026 — standing at the frontier of this industry, supporting radiologists and ultimately improving patient care.

RSNA 2025

SurfImaging was proud to exhibit at RSNA 2025 at Booth #8003 in the North Hall, showcasing our latest innovations in AI-powered medical imaging.

View RSNA 2025 Poster: Cloud-Native Medical Imaging
RSNA 2025 Poster: Cloud-Native Medical Imaging

Expand to view full poster details.

Core Technologies

🌩️ Cloud-Native Architecture

Fully web-accessible and vendor-neutral. Compatible with Azure, AWS, and Google Cloud for seamless, scalable deployment.

🧠 Integrated AI

Automated organ segmentation, abnormality detection, and disease classification built directly into the imaging workflow.

🩺 Specialized Clinical Workflows

Supports radiology protocols and advanced workflows in cardiology, neurology, oncology, and other specialties.

💻 Zero-Client Accessibility

Work securely from any device, anywhere. All computations and data remain in the cloud—no local downloads or data storage required.

📊 Intelligent Reporting

Multi-modal large language models (vLLMs) enable structured reporting and clinical decision support.

Product Features

SurfImaging.ai delivers, from the cloud, advanced visualization and AI-driven insights across the entire radiology workflow. Explore some of our core imaging capabilities below:

Our cloud-native architecture ensures that patient data always remains securely on the server or within the trusted cloud environment—no downloads or local copies are ever required. This zero-client design guarantees data privacy, compliance, and performance. With our patent-pending streaming and automation technology, users can access comprehensive imaging tools and AI-assisted analysis in sub-second response time—all with a single click on a secure URL.

Head and Neck Basic View

Basic Radiology View

Provides a complete anatomical overview with intuitive image manipulation, annotation, and measurement tools to support clinical evaluation and planning.

Total Segmentation MPR View

Fully Automated Whole-Body Segmentation

SurfImaging develops its own AI models while leveraging open-source frameworks from NVIDIA (MONAI) and Universitätsspital Basel (TotalSegmentator) to deliver advanced AI features that support clinical workflows.

Aorta and Left Iliac

Fully Automated Aorta and Iliac Analysis

High-resolution vascular visualization with automated detection of vessel lumen paths and diameters at sub-voxel precision, supporting pre-surgical planning and comprehensive vascular assessment.

Carotid Artery and Jugular Vein

Fully Automated Carotid Artery and Jugular Vein Analysis

Dual-structure visualization automatically distinguishes arterial and venous anatomy, enabling precise vascular assessment and planning for head-and-neck applications.

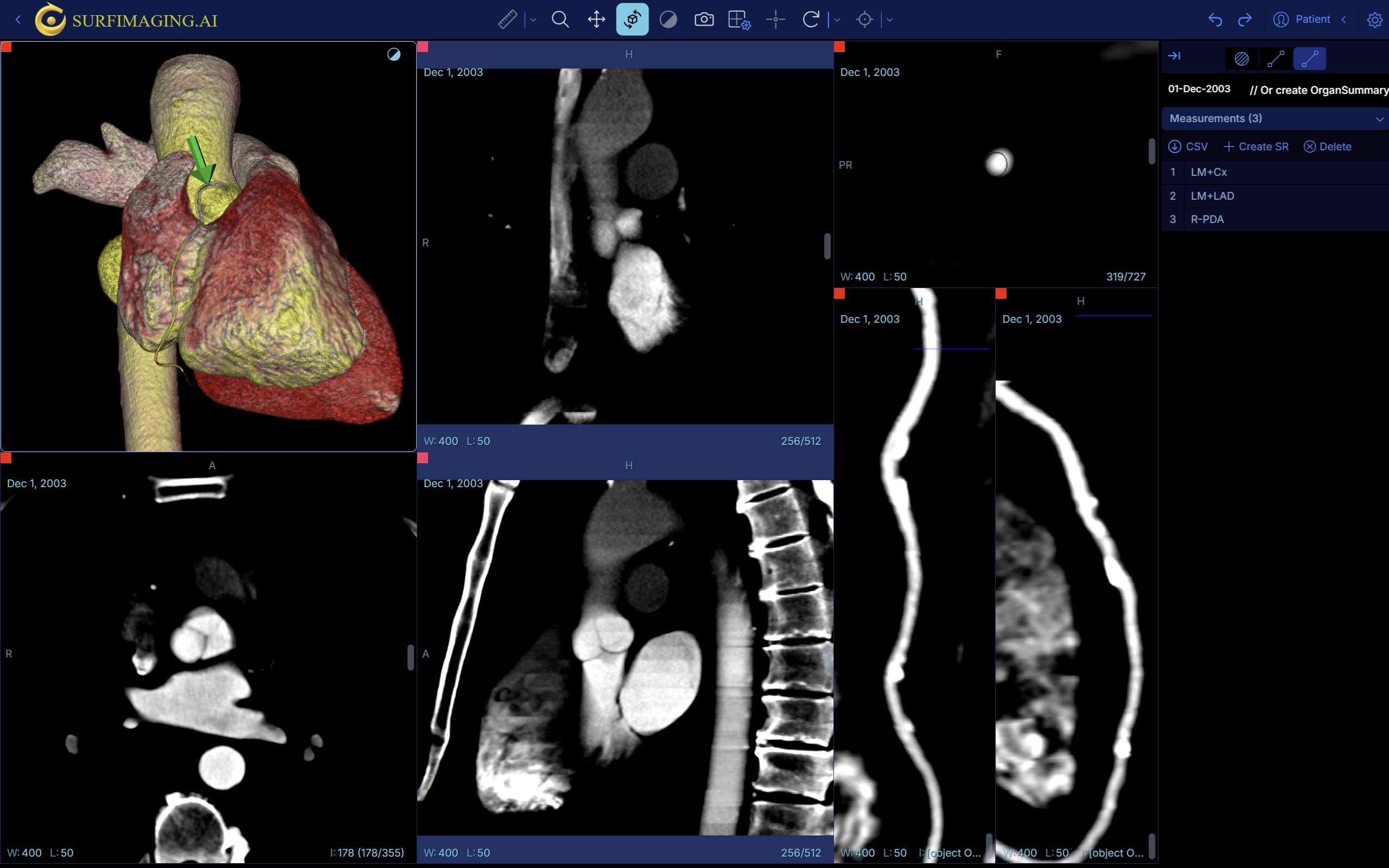
Coronary R-PDA

Fully Automated Coronary Analysis

High-resolution coronary reconstruction with sub-voxel precision, including the right posterior descending artery (R-PDA), supporting comprehensive cardiac assessment and interventional planning.

Lung Nodules

Fully Automated Lung Nodule Detection

AI-assisted detection and 3D localization of lung nodules with volumetric measurement, supporting early detection and cancer screening workflows.

Collaborative Radiology — Real-Time Imaging, Together, Anywhere

Experience the next evolution of radiology collaboration. Our cloud-based viewer lets radiologists, clinicians, and patients explore the same medical images live and in sync — seamlessly across PCs, tablets, and phones.

No screen sharing. No lag. No setup. Every participant can interact directly — pan, zoom, measure, and annotate — seeing each other’s actions instantly.

Beyond image sharing, teams can collaborate on advanced visualization and AI-powered analysis, working together within the same secure, intelligent workspace.

This transforms multidisciplinary reviews, remote consultations, and patient discussions — streamlining decisions, improving diagnostic accuracy, and eliminating the workflow friction of traditional image-sharing systems.

Smarter teamwork. Faster insights. Better care.

Demonstration: real-time collaboration between clinician (tablet) and radiologist (PC)


AI-Driven Radiology Workflow Automation — Showcase

Explore how SurfImaging’s AI automation prepares studies in advance, synchronizes collaboration, and reduces manual setup — enabling faster, clearer, and more confident clinical decision-making.

Coronary CT Angiography Review

The system automatically detects coronary centerlines, segments key vessels, and prepares CPR, MPR, and 3D views for immediate review — no manual setup required.

Lung Nodule Review & Multidisciplinary Consultation

AI detects, measures, characterizes, and tracks pulmonary nodules. Radiologists, oncologists, and patients can join the same review session — remotely and in sync.

Anatomy Training Session

A curated CT case with organ and structure segmentation allows trainees to interactively explore anatomy in 3D and MPR — guided live by a radiologist or instructor.